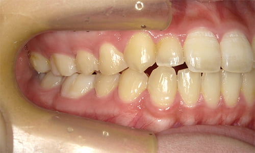
No.01
拡大床
インビザライン・
ファースト
-
BEFORE
-
AFTER
-
BEFORE
-
AFTER
| 不正咬合の種類 | 叢生 |
|---|---|
| 施術内容 | 前歯が大きくて顎が小さく、特に上の前歯は歯が重なっていて、これから生えてくる永久歯がきちんと並ぶのかが不安」という主訴で矯正治療をスタートしました。顎を拡げるための床矯正装置を1年間ほど使用した後、マウスピース装置であるインビザライン・ファーストにて2年間、矯正治療を行い、キレイに並べることができました。 |
| 治療期間 | 9年5ヶ月 |
| 治療費用 | 418,000円(税込) |
| リスク | 顎の成長に合わせて装置を拡大して、それぞれの歯を個別に動かすことができる「インビザライン治療」はこういったケースでは大変有効ですが、マウスピースの正しい脱着や決められた時間装着できないなどということがありますと、予定されているような計画が通りの動きができない場合があり、注意が必要です。 |
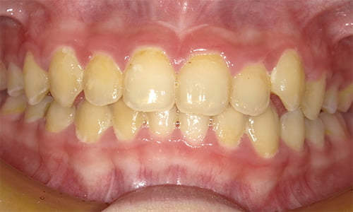
No.02 インビザライン
-
BEFORE
-
AFTER
-
BEFORE
-
AFTER
| 不正咬合の種類 | 上顎空隙歯列・下顎叢生 |
|---|---|
| 施術内容 | 乳歯が早期に抜けたのはいいのですが、永久歯がバラバラの位置から生えてきてしまっていて、今後、きちんと永久歯が並ぶのかが心配です」という主訴で矯正治療をスタートしました。それぞれの歯がバラバラに位置しているために、針金の矯正(ワイヤー矯正)よりも、個々の歯を動かすことができる「インビザライン治療(マウスピース装置)」の方が効果が高いと判断して、治療を行いました。装着時間もしっかりと守っていただき、キレイに永久歯を並べることができました。 |
| 治療期間 | 4年5ヶ月 |
| 治療費用 | 210,000円(税込) |
| リスク | マウスピースの正しい脱着や決められた時間装着できないなどということがありますと、予定されているような計画が通りの動きができない場合があり、注意が必要です。今回のような空隙が多いケースはマウスピースを雑に扱ってしまうと変形してしまいますので、取り扱いにも注意が必要です。 |
No.03 インビザライン・ファースト
-
BEFORE
-
AFTER
| 不正咬合の種類 | 空隙歯列 右上2番先天欠損 |
|---|---|
| 施術内容 | レントゲンで前歯の永久歯が一本少ないと指摘され、そのせいもあって前歯がすきっぱになってしまい、そして、歯の中心もあっていないので心配です」という主訴で矯正治療をスタートしました。今回のように永久歯が生まれつき欠損しているような場合の矯正治療の方法としては、①欠損している歯よりも奥の歯を少しずつ前方に移動させて隙間を埋める②欠損している永久歯の部分をわざと隙間をあけて治療をおこなって、成人してからブリッジ治療やインプラント治療を検討する。のふたつがあり、今回は②を選択されました。マウスピース装置であるインビザライン・ファーストにて2年間、上下の顎を整える治療をおこない、前歯の中心も真ん中に合わせることができました。現在は仮歯にてスペースを埋めています。 |
| 治療期間 | 3年2ヶ月 |
| 治療費用 | 440,000円(税込) |
| リスク | 顎の成長に合わせて装置を拡大して、それぞれの歯を個別に動かすことができる「インビザライン治療」は針金の矯正(ワイヤー矯正)とは違い、こういったケースでは大変有効ですが、マウスピースの正しい脱着や決められた時間装着できないなどということがありますと、予定されているような計画が通りの動きができない場合があり、注意が必要です。 |
No.04 インビザライン・ファースト
-
BEFORE
-
AFTER
-
BEFORE
-
AFTER
| 不正咬合の種類 | 叢生 |
|---|---|
| 施術内容 | 永久歯にすべて歯が交換したのですが、糸切り歯(犬歯)の生える隙間がなく「八重歯」の状態になっていてとても心配で、矯正治療をはじめたいのですが、針金の矯正治療はできればやりたくありません」という主訴でございました。 今回は、下の顎は特に歯の並びは悪くありませんが、上の顎のスペースが足りなく、歯が非常にガタガタした状態になっています。上下の歯の並びに著しい違いがありましたので、上の顎の小臼歯を左右1本ずつ抜歯をいたしまして、犬歯をキレイに収める隙間を作り出し、マウスピース装置であるインビザライン・ファーストにて、矯正治療を行い、キレイに並びつつあります。 |
| 治療期間 | 令和3年6月から現在も矯正中 |
| 治療費用 | 772,200円(税込) |
| リスク | 今回のような抜歯をして歯を並べる治療に関しては、マウスピース装置の装着時間が短くなると歯とマウスピースとの不適合が生まれてしまう可能性があるため、毎日20時間の装着、そして、正しい装着方法が大切になります。 |
No.05 インビザライン・ファースト
-
BEFORE
-
AFTER
-
BEFORE
-
AFTER
| 不正咬合の種類 | 上下顎叢生 |
|---|---|
| 施術内容 | 前歯が大きくて顎が小さく、これから生えてくる永久歯がきちんと並ぶのかが不安」という主訴で矯正治療をスタートしました。顎を拡げながら、個別の歯を理想の位置へ誘導することができるマウスピース装置であるインビザライン・ファーストにて、矯正治療を行い、キレイに並べることができました。顎を拡げながら、個別の歯を理想の位置へ誘導することができるマウスピース装置であるインビザライン・ファーストにて、矯正治療を行い、キレイに並べることができました。 |
| 治療期間 | 3年11ヶ月 |
| 治療費用 | 858,000円(税込) |
| リスク | 顎の成長に合わせて装置を拡大して、それぞれの歯を個別に動かすことができる「インビザライン治療」はこういったケースでは大変有効ですが、マウスピースの正しい脱着や決められた時間装着できないなどということがありますと、予定されているような計画が通りの動きができない場合があり、注意が必要です。 |
No.06 インビザライン・ファースト
-
BEFORE
-
AFTER
| 不正咬合の種類 | 上顎前歯部空隙歯列 |
|---|---|
| 施術内容 | 永久歯の前歯が生えてきましたが、歯と歯が離れて生えてきており、中心もずれているので、今後永久歯がしっかり生えるのかが心配です。」という主訴で矯正治療をスタートしました。乳前歯の早期脱落が原因で前歯の永久前歯が離れて生えていきておりましたので、マウスピース装置であるインビザライン・ファーストにて、矯正治療を行い、永久歯が萌出するスペースを作り出すことができました。 |
| 治療期間 | 令和1年10月から現在も矯正中 |
| 治療費用 | 397,500円(税込) |
| リスク | 顎の成長に合わせて装置を拡大しますが、乳歯は永久歯の萌出により、揺れてくることがあり、装置との適合性が悪くなることも一時的にございます。マウスピースの正しい脱着や決められた時間装着できないなどということがありますと、予定されているような計画が通りの動きができない場合があり、注意が必要です。 |
No.07 インビザライン
-
BEFORE
-
AFTER
-
BEFORE
-
AFTER
| 不正咬合の種類 | 叢生 |
|---|---|
| 施術内容 | 糸切り歯(犬歯)が八重歯のようになって生えてきてしまい、きれいに歯が並ぶのか心配」という主訴で矯正治療をスタートしました。上下左右の小臼歯を抜歯を抜歯し、針金式の装置であるマルチブラケット装置を利用したワイヤー矯正治療も検討されましたが、まだ顎の成長が間に合う可能性があるということで、永久歯を抜歯することなく歯を並べることができるインビザライン治療(マウスピース装置治療)を選択されまして、治療をおこないしました。 |
| 治療期間 | 令和1年4月から現在も矯正中 |
| 治療費用 | 420,000円(税込) |
| リスク | 顎の拡大を促進しながら、さらに永久歯をキレイに並べるというふたつの要素を同時進行させながらの矯正治療を行い、今回は20時間のマウスピース装着時間をしっかりと守っていただき、正しく装着できていましたので、歯並びがキレイになるという結果が得られましたが、装着時間を守れない場合は、疼痛やマウスピースの適合不良を起こし、効果が見込めないことがあります。 |
No.08
拡大床
インビザライン・ファースト
-
BEFORE
-
AFTER
-
BEFORE
-
AFTER
-
BEFORE
-
AFTER
| 不正咬合の種類 | 叢生 |
|---|---|
| 施術内容 | 前歯が大きくて顎が小さく、特に上の前歯は歯が重なっていて、これから生えてくる永久歯がきちんと並ぶのかが不安」という主訴で矯正治療をスタートしました。顎を拡げるための床矯正装置を1年間ほど使用した後、マウスピース装置であるインビザライン・ファーストにて2年間、矯正治療を行い、キレイに並べることができました。 |
| 治療期間 | 1年3ヶ月 |
| 治療費用 | 420,000円(税込) |
| リスク | 顎の成長に合わせて装置を拡大する床矯正装置は1日13時間の装着時間が必要で、その時間が短いと顎を側方に拡げる力が十分に発揮することができず、前歯の重なりを改善することができません。 |
No.09
拡大床
インビザライン・ファースト
-
BEFORE
-
AFTER
-
BEFORE
-
AFTER
| 不正咬合の種類 | 上下顎叢生 |
|---|---|
| 施術内容 | 前歯が大きくて顎が小さく、下の歯は特に歯がガタガタしていて、これから生えてくる永久歯がきちんと並ぶのかが不安」という主訴で矯正治療をスタートしました。 |
| 治療期間 | 令和1年8月から現在も矯正中 |
| 治療費用 | 357,750円(税込) |
| リスク | 顎の成長に合わせて装置を拡大しますので、一時的に歯並びが悪い状態になることもあります。床矯正装置は1日13時間以下の装着時間になると顎が予定通りに拡がらないので、その装着時間を守れない場合は、疼痛やマウスピースの適合不良を起こし、効果が見込めないことがあります。 |
No.10
拡大床
インビザライン・ファースト
-
BEFORE
-
AFTER
-
BEFORE
-
AFTER
| 不正咬合の種類 | 叢生 |
|---|---|
| 施術内容 | とても大きい前歯が生えてきて、下の前歯もガタガタで、これから生えてくる永久歯がきちんと並ぶのかが不安」という主訴で矯正治療をスタートしました。顎を拡げるための床矯正装置とマウスピース装置であるインビザライン・ファーストにて、矯正治療を行い、キレイに並べることができました。 |
| 治療期間 | 平成31年2月から現在も矯正中 |
| 治療費用 | 440,000円(税込) |
| リスク | 顎の成長に合わせて装置を拡大しますが、乳歯は永久歯の萌出により、揺れてくることがあり、装置との適合性が悪くなることも一時的にございます。この際、保護者の方が毎日、お子様の装置の適合状態をチェックしていただけると、適合不良に早期に気づくことができますので、毎日の確認はとても大事なことでございます。 |
No.11 タングクリブアクティビティ
-
BEFORE
-
AFTER
-
BEFORE
-
AFTER
| 不正咬合の種類 | 開咬 |
|---|---|
| 施術内容 | 上下の永久歯が生えてきたいのですが、ぜんぜん噛み合わずに、見た目も良くないので心配です」という主訴で矯正治療をスタートしました。このような上下の前歯が噛み合わない状態のことを「開咬」と呼びますが、生まれつきのものではなく、舌を前方に出してしまう「舌突出癖」や「指しゃぶり」などの悪習癖があると、本来噛み合うはずであった前歯が噛み合わずに、このように隙間が開いてしまうために、とても見た目が悪い状態になるのと、食事も大変とりにくいものになります。今回のケースにおいては、舌突出癖の悪習癖がみられましたので、舌の突出を防止するための固定装置である「タングクリブ」を装着し、さらに1ヶ月に一度、当院にて、「アクティビティ」と呼ばれる舌のトレーニングを行うことによって、悪習癖を改善しました。上下の前歯は10ヶ月ほどで理想の位置に近いところまで噛み合ってきました。 |
| 治療期間 | 令和2年2月から現在も矯正中 |
| 治療費用 | 440,000円(税込) |
| リスク | 歯の萌出位置に問題があると、あわてて装置で拡大したりしたくなるものですが、舌の突出癖という悪習癖を除去できていない状態で、機械装置による矯正治療を行なっても、一時的に歯並びはよくなりますが、悪習癖によって簡単にそして、おどろくほど短期間に歯の並びは元にもどってしまいます。当院では見た目の歯並びの改善はもちろんですが、その不正咬合の原因になった要素にアプローチすることによって、根本的な改善を目指します。ですので、ご自宅でのトレーニングが実施できない場合は、予定された効果がでない可能性もあります。 |
No.12
拡大床
インビザライン・ファースト
-
BEFORE
-
AFTER
| 不正咬合の種類 | 叢生 |
|---|---|
| 施術内容 | とても大きい前歯が生えてきて、下の永久歯とのバランスも悪く、これから生えてくる永久歯がきちんと並ぶのかが不安」という主訴で矯正治療をスタートしました。永久歯の大きさに比べて顎の大きさが小さく(アーチレングスディスクレパンシー)、その状態を改善するために、顎を拡げるための床矯正装置とマウスピース装置であるインビザライン・ファーストにて矯正治療を行い、永久歯が萌出するスペースを作り出すことができました。 |
| 治療期間 | 令和1年7月から現在も矯正中 |
| 治療費用 | 397,500円(税込) |
| リスク | 顎の成長に合わせて装置を拡大しますが、乳歯は永久歯の萌出により、揺れてくることがあり、装置との適合性が悪くなることも一時的にございます。この際、保護者の方が毎日、お子様の装置の適合状態をチェックしていただけると、適合不良に早期に気づくことができますので、毎日の確認はとても大事なことでございます。 |
No.13
拡大床
インビザライン・ファースト
-
BEFORE
-
AFTER
| 不正咬合の種類 | 叢生 |
|---|---|
| 施術内容 | 前歯が大きくて顎が小さく、これから生えてくる永久歯がきちんと並ぶのかが不安」という主訴で矯正治療をスタートしました。顎を拡げるための床矯正装置とマウスピース装置であるインビザライン・ファーストにて、矯正治療を行い、キレイに並べることができました。 |
| 治療期間 | 2年10ヶ月 |
| 治療費用 | 397,500円(税込) |
| リスク | 顎の成長に合わせて装置を拡大しますので、一時的に歯並びが悪い状態にあることもあります。マススピース装置は1日20時間以上の装着時間が必要となるので、その装着時間を守れない場合は、疼痛やマウスピースの適合不良を起こし、効果が見込めないことがあります。 |
No.14
拡大床
インビザライン・ファースト
-
BEFORE
-
AFTER
-
BEFORE
-
AFTER
| 不正咬合の種類 | 前歯部反対咬合 |
|---|---|
| 施術内容 | 永久歯の前歯が生えてきましたが、下の前歯と位置が反対になっていて、将来がとても心配です」という主訴で矯正治療をスタートしました。前歯が部分的に反対の位置になっていましたので、指様弾線付きの床拡大装置を使用して、顎を拡げながら、上顎の前歯を前に出しました。約6ヶ月ほどで反対咬合は改善しましたが、その後は、マウスピース装置であるインビザライン・ファーストにて2年間、上下の顎を拡げる治療をおこない、永久歯が萌出するスペースを作り出すことができました。 |
| 治療期間 | 令和1年4月から現在も矯正中 |
| 治療費用 | 440,000円(税込) |
| リスク | 指様弾線付き拡大床装置は1日13時間の装着時間が必要で、その時間が短いと前歯を前方に押し出す力が十分に発揮することができず、前歯の反対咬合を改善することができません。前歯が部分的に反対になっている状態は、噛み合わせ的にも審美的にもよくないことが多く、さらに、前歯の位置が部分的に反対になっていると顎の左右の成長が均一にならず、その状態を放置しておくととても改善の難しい矯正治療となります。 |
No.15
拡大床
インビザライン・ファースト
-
BEFORE
-
AFTER
-
BEFORE
-
AFTER
| 不正咬合の種類 | 過蓋咬合・叢生 |
|---|---|
| 施術内容 | 前歯が大きくて顎が小さく、下の歯は特に歯がガタガタしていているのと、下の歯がほとんど見えない状態で、このままほかっておいていいのか?」という主訴で矯正治療をスタートしました。まずは顎を拡げる装置である床矯正装置に、過蓋咬合を改善するための工夫をしてそれを毎日13時間装着してもらうことで、前歯の噛み合わせの位置が大変良くなりました。今後はインビザラインファースト治療を行いながら、永久歯を正しい位置に誘導していくための治療を行なっていきます。 |
| 治療期間 | 令和3年9月から現在も矯正中 |
| 治療費用 | 484,000円(税込) |
| リスク | 過蓋咬合も治療の開始時期が適切であれば、機能的な装置で十分に改善することが可能ですが、10歳ほどになってしまうとこのような治療を行うことができなくなりますので、極力早めの矯正治療の開始が重要になります。 |